Integrative Smile Design

In vielen Fällen beginnt die optimale Restauration nicht mit dem Bohrer, sondern mit dem Aligner.

Für vorhersagbare Behandlungsergebnisse entwickelt

Was ist Integrative Smile Design™?

Ein zentrales Ziel der modernen restaurativen Zahnheilkunde ist die Wiederherstellung optimaler Ästhetik unter maximalem Erhalt gesunder Zahnhartsubstanz. Dennoch werden restaurative Befunde häufig isoliert behandelt, ohne die zugrunde liegenden funktionellen oder okklusalen Ursachen zu berücksichtigen. So wird beispielsweise ein frakturierter Zahn restauriert, ohne eine bestehende Malokklusion als ätiologischen Faktor zu therapieren.

Hier setzt die prärestaurative Zahnstellungskorrektur an. Durch die Optimierung der Zahnposition vor restaurativen Maßnahmen schaffen Behandler eine verbesserte Ausgangssituation für substanzschonende Versorgungen, funktionell stabile Okklusionsverhältnisse und langfristig ästhetisch überzeugende Ergebnisse.

Warum zuerst ausrichten und erst dann restaurieren?

Die Stellung und Achsneigung der Frontzähne beeinflussen maßgeblich sowohl die dentofaziale Ästhetik als auch die Funktion. Zahnfehlstellungen führen häufig zu invasiveren restaurativen Maßnahmen, wie ausgedehnten Kompositaufbauten, erhöhter Präparationstiefe oder wiederholten Korrekturbehandlungen.

Kurzzeitige Aligner-Therapien stellen eine effektive Möglichkeit dar, die Zahnposition vor der restaurativen Versorgung gezielt zu optimieren.

In vielen Fällen kann eine kurze Phase der Aligner-Therapie die restaurative Behandlungsphase deutlich vereinfachen.

Durch das vorherige Ausrichten der Zähne können Behandler:

  • Den Bedarf an restaurativem Material reduzieren
  • Gesunde
    Zahnhartsubstanz maximal erhalten 
  • Dentofaziale Symmetrie und Proportionen des Lächelns verbessern
  • Vorhersehbarere restaurative Ergebnisse erzielen
  • Die zugrunde liegende funktionelle Ursache des Problems behandeln
So funktioniert es

1. Daten erfassen

  • Intraoralscan (obligatorisch)
  •  3D-Gesichtsscan (empfohlen) oder 2D-Bilder
  • CBCT (falls klinisch erforderlich)
  • 4D-Kieferbewegungsaufzeichnung (optional, für komplexe funktionelle Fälle)

2. Fall hochladen

  • Einreichung über die TrioClear-Plattform

3. MDE erstellt den Patienten-Avatar

  • Alle Datensätze werden zu einem präzisen 3D-Modell zusammengeführt
  • Faziale, dentale und okklusale Referenzen werden ausgerichtet
  • Optionale Kieferbewegungsdaten werden für funktionelle Präzision integriert

4. MDE erstellt das Behandlungskonzept

  • Ein vollständiges, phasenbasiertes Smile Design wird erstellt
  • Gesichtsbasierte digitale Wax-ups definieren Zahnform, -größe und -morphologie

5. Überprüfung im Exocad Viewer

  • Bewertung von Ästhetik, Okklusion und Proportionen
  • Feedback geben und freigeben

6. Sicher umsetzen

  • Freigegebene CAD-Designs werden in CAM-fähige Produktionsdaten umgewandelt
  • Direkt für die Herstellung der Restaurationen verwendbar
Von der Planung zur definitiven Versorgung

Integrative Smile Design stellt einen durchgängigen digitalen Workflow dar – von der Diagnose bis zur Umsetzung.

Die freigegebene Planung bildet die Grundlage für die Herstellung von:

  • direkten und indirekten Restaurationen
  • keramischen Veneers und Kronen
  • umfassenden prothetischen Rehabilitationen
  • implantatgetragenem Zahnersatz (z. B. All-on-X-Konzepte)

Durch die direkte Überführung validierter CAD-Daten in die Fertigung wird eine hohe Passgenauigkeit sowie eine exakte Umsetzung der geplanten Ergebnisse gewährleistet.

Zuerst ausrichten, besser restaurieren

49 % – Fokus auf prä-restaurative Behandlung

Fast die Hälfte aller restaurativen und umfassenden Fälle hat das Potenzial für deutlich bessere Ergebnisse, wenn sie zuvor mit TrioClear® Alignern behandelt werden.

 

 

Dr. Ruud Sips
Zahnarzt für Implantologie und Kieferorthopädie

3 von 4 lächeln schöner

75 % – Fokus auf Ästhetik

Drei von vier Patienten haben das Potenzial, ihr Lächeln zu verbessern. TrioClear® Aligner bieten eine einfache und effektive Lösung für Patienten, die ihr Lächeln optimieren möchten – insbesondere, da der Wunsch nach einem schönen Lächeln weiter zunimmt.

Dr. Medha Gupta
Zahnärztin und Produktmanagerin Implantologie

Funktion folgt der Ausrichtung

87 % – Fokus auf Funktion

In der Mehrheit der Fälle sind TrioClear® Aligner effektiv darin, die Funktion zu verbessern, indem die Zähne korrekt ausgerichtet werden, um Probleme im Zusammenhang mit Reinigung und Okklusion zu adressieren.

 

Mauad Massali
Leitender kieferorthopädischer Assistent

Ein digitaler Ansatz für minimalinvasive Smile-Transformation

Wir sind überzeugt, dass herausragende restaurative Ergebnisse bereits vor der Präparation beginnen. Unser Align & Restore-Konzept definiert neu, wie Behandler an ästhetische Zahnmedizin herangehen – indem sie mit der Zahnstellung beginnen, gesteuert durch Integrative Smile Design.

Dieser Ansatz legt den Fokus auf minimalinvasive Behandlung, reduziert biologische Kosten und ermöglicht vorhersehbare, reproduzierbare ästhetische Ergebnisse in einem vollständig digitalen, laborunterstützten Workflow. Durch die Kombination von TrioClear® Aligner-Therapie mit fortschrittlichen Lösungen wie F.I.T. Wear, F.I.T. Veneers, ZirNEER und weiteren können Behandler sicher planen und Smile Makeovers umsetzen, die Ästhetik, Funktion und langfristige Stabilität vereinen.

TrioClear® Integrative Smile Design und der Aligner-Simulator arbeiten vom restaurativen Endergebnis rückwärts und ermöglichen es Ihnen, Zahnbewegungen gezielt im Einklang mit Ihren finalen prothetischen Zielen zu steuern.

Integrative Smile Design im klinischen Workflow

Integrative Smile Design bildet die diagnostische Grundlage des Align-&-Restore-Konzepts. Bereits zu Beginn wird ein ästhetisch und funktionell definiertes Therapieziel festgelegt, das Zahnstellung, Konturen und Proportionen vorgibt.

Der Ansatz umfasst:

  • Digitale Smile-Simulationen auf Basis ästhetischer Referenzparameter (z. B. Proportionslehre)
  • Mock-up-Konzepte zur intraoralen Visualisierung des geplanten Ergebnisses
  • Integration in digitale Aligner-Planungssysteme für präzise Zahnbewegungen
  • Finale Zahnstellung unter Berücksichtigung ästhetischer und funktioneller Zielparameter

Klinischer Hinweis:
Durch die frühzeitige Analyse von Engständen, Diastemata, Zahnachsenabweichungen oder gingivalen Asymmetrien lassen sich potenzielle ästhetische und funktionelle Kompromisse sowie unnötige Präparationsmaßnahmen vermeiden. Die Planung sollte stets vor der invasiven Therapie erfolgen.

Fallselektion – entscheidend für den Therapieerfolg

Die korrekte Indikationsstellung ist ein wesentlicher Faktor für den Erfolg des Align-&-Restore-Ansatzes.

Besonders geeignet sind:

  • Klasse-I-Fälle mit korrekter Molarenrelation und Frontzahnengstand oder Diastemata
  • selektierte Klasse-II-Fälle in Abhängigkeit von Dysgnathiegrad und Therapieziel

Komplexe Fälle, insbesondere bei ausgeprägten skelettalen Klasse-III-Diskrepanzen, erfordern in der Regel ein interdisziplinäres Vorgehen.

Die Fokussierung auf den Frontzahnbereich (Zahnregion 5–5) ermöglicht häufig eine signifikante Verbesserung von Ästhetik und Funktion bei gleichzeitig hoher Effizienz und guter Vorhersagbarkeit.

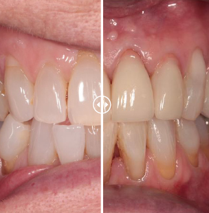
Klinischer Behandlungsansatz

Das vorgestellte Fallbeispiel folgt einer klaren therapeutischen Sequenz:

Align → Restore

Zunächst erfolgte eine kieferorthopädische Vorbehandlung
mittels Alignern zur Optimierung der Zahnstellung, insbesondere im
Frontzahnbereich. Nach Erreichen einer funktionell und ästhetisch idealen
Ausgangssituation konnte die restaurative Versorgung deutlich
substanzschonender und präziser umgesetzt werden.

Dieser Ansatz ermöglicht es, ästhetische Zielsetzungen mit
minimalinvasiven restaurativen Maßnahmen zu realisieren.

Zusammenfassung

Aligner haben sich zu einem integralen Bestandteil der modernen restaurativen Behandlungsplanung entwickelt.

Die prärestaurative Zahnstellungskorrektur stellt einen entscheidenden Schritt dar, um funktionelle Zusammenhänge zu berücksichtigen, Zahnhartsubstanz zu erhalten und langfristig stabile sowie ästhetisch hochwertige Ergebnisse zu erzielen.
Damit etabliert sich die Aligner-Therapie als unverzichtbares Instrument innerhalb interdisziplinärer Behandlungskonzepte in der zeitgemäßen Zahnmedizin.

Bereit, Ihr Behandlungsspektrum zu erweitern?

Mit Integrative Smile Design und einem strukturierten Align-&-Restore-Workflow erhalten Sie ein präzises, evidenzbasiertes Instrument zur Planung und Umsetzung ästhetisch-funktioneller Rehabilitationen.

Optimieren Sie Ihre Behandlungsplanung, erhöhen Sie die Vorhersagbarkeit Ihrer Ergebnisse und bieten Sie Ihren Patienten minimalinvasive, nachhaltige Versorgungskonzepte auf höchstem Niveau.